循環器・呼吸器病センター > 診療科及び各部門の紹介 > 放射線技術部 > ハイブリッド手術室
ここから本文です。
掲載日:2025年2月20日
ハイブリッド手術室の様子


ハイブリッド手術室とは、手術室と血管X線撮影装置を組み合わせたものです。
手術室とカテーテル室の機能を併せ持つことで、最新の医療技術に対応します。
(X線を使用するので診療放射線技師も手術にかかわります)
当院のハイブリッド手術室は、大画面モニタ2面をはじめ充実した機能を備え、あらゆる診療科の手術が快適に行えるよう構成されています。
当院では現在、心臓の弁膜症に対するTAVI(経カテーテル大動脈弁置換術)や、MitraClip(経皮的僧帽弁接合不全修復システム)、大動脈瘤に対して、リアルタイムに3次元CT画像を透視画像に重ね合わせできる機能を駆使し、より安全にステントグラフト内挿術を行っています。
 




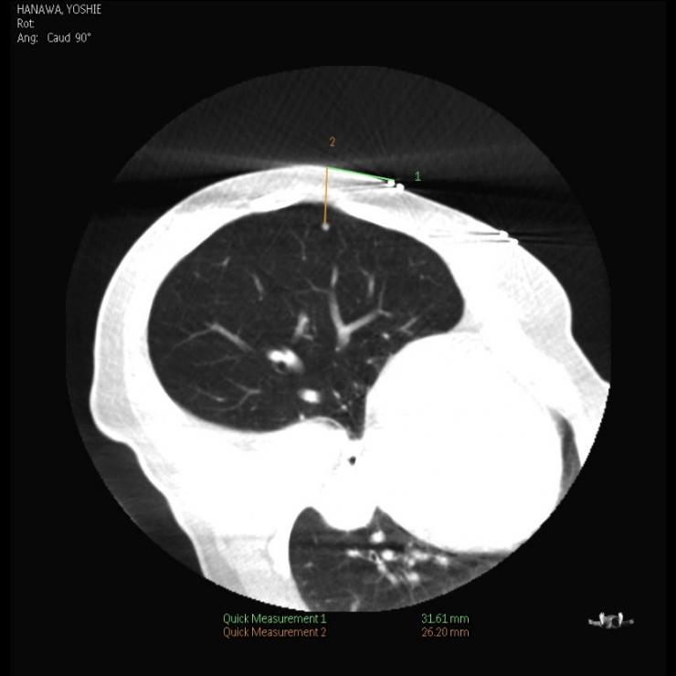
触知困難な小さな肺癌に対しても、胸腔鏡とコーンビームCTガイドを組み合わせることにより、手術中に病変を同定し切除することができます。



2021年3月から脳血管奇形や高難度動脈瘤など治療難度の高い脳疾患に対して、開頭手術とカテーテル治療を組み合わせた2部屋目のハイブリッド治療を導入しました。

下図はクモ膜下出血の原因となる動脈瘤にプラチナコイルを充填して出血を防止する血管内手術画像です。動脈瘤、動静脈奇形、硬膜動静脈瘻、頚動脈狭窄、急性脳梗塞等さまざまな疾患に対する血管内手術を行います。

お問い合わせ
より良いウェブサイトにするためにみなさまのご意見をお聞かせください