埼玉県立 小児医療センター > 各部門の紹介 > 検査技術部 > 血液検査
ここから本文です。
掲載日:2024年7月9日
体内の組織や細胞の変化を知るために、血液に含まれる各成分の量や質を調べる検査を行っています。小児では、十分な量の血液を採取できないことも多いため、少量でも検査が行えるよう工夫をしています。
実施している検査
血液の有効成分である赤血球・白血球・血小板の数(血算)と形態(血液像)を観察する検査です。これらは、貧血・炎症・その他の血液疾患等の有無を調べるためには欠かせない検査です。

自動血球計数装置
また、採血量が十分取れない患者さん用に小容量の採血管を採用しています。通常の採血管(左)では2ml必要ですが、小容量の採血管(右)では0.5ml程度でも検査できます。
形態(血液像)の検査では、ガラスに薄く伸ばした血液を染色し、血液の中の細胞を顕微鏡で観察します。なかでも、白血球では細かい分類(5分類以上)を調べることで、病気の状態や炎症の有無などが判ります。

好中球 リンパ球 好酸球 好塩基球 単球
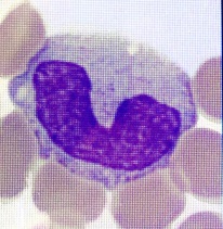
新生児などでは、左の写真(前骨髄球)のような幼若な細胞がみられることもあります。

血液中に未熟な白血球や不明細胞を認めたとき、原因不明の貧血や不明熱があるとき、白血球の増減や血小板の増減があるときなどに、骨髄血の細胞の状態を調べる検査です。
また、治療効果を判定するときに行うこともあります。
骨髄塗末標本

血液の固まり具合や出血傾向を調べる検査です。
血液が固まることを凝固といい、凝固の機序ごとに固まる時間を測定したり血液中に含まれる凝固に関わる成分の量を調べています。手術前の検査や血を固まりにくくする薬のコントロールなどに用いられます。
生まれつき凝固のための成分(凝固因子)が不足している病気では、その診断や治療薬の量を決めるために、凝固因子の量なども測定しています。
血液凝固自動測定装置

凝固検査でも、採血量が十分取れない患者さん用の採血管を採用しています。
凝固検査用の採血管には、血を固まらないようにする薬液(抗凝固剤)が入っており、通常の採血管(左)では2mlの血液分の抗凝固剤が入っています。
1mlの採血量でも検査ができる小容量の採血管(右)では、抗凝固剤の量も半分にすることで血液が薄まるのを防ぎ、少ない血液量で正しい検査ができます。
凝固検査の一つで止血の能力を総合的に判断する検査です。耳たぶに1~2mm程度の傷をつけて、血が止まるまでの時間を測定します。耳たぶがまだ小さかったり、じっとしていることが難しく顔の近くからの採血が危ないお子さんでは、かかとで検査をすることもあります。
また、出血時間の検査と同時に血液ガス測定用の血液を少量採取することもあります。これは、針で動脈の血管を刺すことなく、動脈の血液に近い状態の毛細血管から血液を採取するためです。
白血球は、リンパ球、単球、顆粒球に分類され、細胞の表面にはそれぞれの細胞に特徴的な目印となる物質(抗原)が分布しています。この抗原の分布の様子をフローサイトメトリーという方法を使って分析することで、各細胞の比率を調べる検査です。

フローサイトメーター 分析画面例
以下のような種類の検査を実施しています。
お問い合わせ
より良いウェブサイトにするためにみなさまのご意見をお聞かせください