循環器・呼吸器病センター > 診療科及び各部門の紹介 > 脳神経センター(脳神経外科、脳血管内治療科) > 対象疾患(脳神経センター)
ここから本文です。
掲載日:2025年10月9日
病名をクリックすると詳細な説明へ遷移します。
脳ドックや頭痛・めまいの精査で偶然見つかった未破裂脳動脈瘤から、くも膜下出血で搬送されて来る破裂動脈瘤まで、さまざまな動脈瘤の治療を行っています。治療方法はカテーテルを用いた血管内治療(コイル塞栓術、ステント併用治療、フローダイバーターなど)と開頭手術(クリッピング術、バイパス併用治療など)がありますが、どちらの治療がより安全で確実かを症例ごとに検討し治療方針を決めています。血管内治療と開頭手術を同時に行うことが可能なハイブリッド手術室を使用し、開頭手術と血管内治療それぞれの良いところを複合したハイブリッド治療にも力を入れています。
カテーテル(細い管)を用いて血管の内側から動脈瘤の内部にプラチナ製のコイルを詰め、動脈瘤の破裂を予防します。

血管内カテーテルで、動脈瘤が発生している正常血管にフローダイバーター(網目の細かいステント)を留置することで、動脈瘤の中の血流が停滞し、時間をかけてゆっくり動脈瘤が血栓化していきます。低侵襲で再発も少ない画期的な治療です。

部位や大きさによっては血管内治療より開頭手術の方が適している動脈瘤もあります。開頭クリッピング術では、動脈瘤をチタン製のクリップで挟み動脈瘤内部への血液の流入を遮断し破裂を予防します。動脈瘤そのものから大事な血管が出ている場合や、動脈瘤が周囲の神経や脳を圧迫しているような場合も、開頭手術の方がより安全で再発リスクが低いと考えられます。

動脈硬化により脳へ血液を送る頸動脈が狭窄する病気です。狭窄が高度な場合は、将来的な脳梗塞の予防のために、カテーテル治療(頸動脈ステント留置術:CAS)や外科治療(頸動脈内膜剥離術:CEA)を行います。どちらの治療法を行うかに関しては、狭窄のタイプや全身状態を詳しく調べ、個々の患者さんに適切な方法を選ぶようにしています。


内頚動脈閉塞や頭蓋内動脈閉塞による脳梗塞の発症、また、もやもや病による脳出血や脳梗塞の発症を予防するために、バイパス手術が行われます。一般的には、頭皮の栄養血管である浅側頭動脈を脳表の中大脳動脈へ吻合し、頭蓋外の血流を頭蓋内へと供給する新しいルートを作製します(STA-MCAバイパス術)。バイパスによって酸素供給の足りない脳の領域へ血流を補うことにより脳梗塞の予防効果あると考えられています。もやもや病におけるバイパス術は、脳深部で発達した脆くて弱いもやもや血管への血流負荷を減らすことにより脳出血を予防する効果があることも証明されています。

脳動静脈奇形とは、脳の動脈と静脈の間に異常血管網(ナイダス)ができ、脳の動脈の血液がこのナイダスを通って脳の静脈に直接流れ込む病気です。ナイダスの血管は壁が薄くて脆いため、破れると脳出血やくも膜下出血の原因になります。またけいれんや片頭痛で見つかることもあります。治療法は手術による摘出術、血管内治療、放射線治療がありますが、血管内治療単独での根治は難しいため、これらを組み合わせて行います。

脳の表面を覆っている硬膜の中で硬膜を栄養している動脈と本来はつながりのない静脈が直接つながってしまう病気です。硬膜を栄養する動脈と脳の灌流を担う静脈との間に連絡ができてしまうと、脳の静脈圧が上昇することで血流のうっ滞が起こり、脳出血やさまざまな脳機能障害(けいれん、麻痺、言語障害、視力障害、耳なりど)を起こすことがあります。

脳のさまざまな部位に発生する異常血管の塊です。出血を繰り返して脳の圧迫や刺激による神経症状(てんかん、麻痺、構語障害、嚥下障害、頭痛、めまい、複視など)の悪化を来たすことがありあす。出血を繰り返し神経症状が悪化する場合やてんかんの原因になっている場合には摘出術を行います。

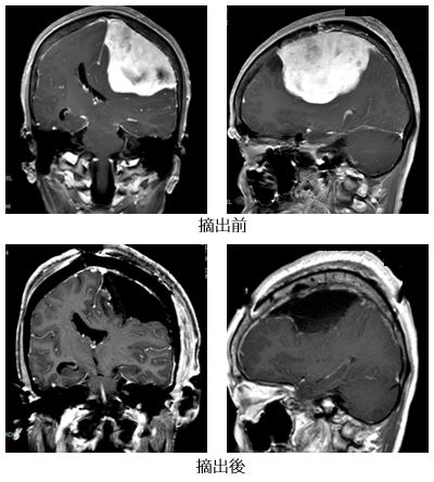
最も頻度が高い脳腫瘍で、脳を覆っている膜から発生します。多くは良性でゆっくり発育しますが、一部に成長が早い悪性のタイプが存在します。経過中に増大する場合や、圧迫による神経症状(てんかん、麻痺など)や脳浮腫が見られる場合は摘出手術を検討します。

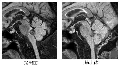
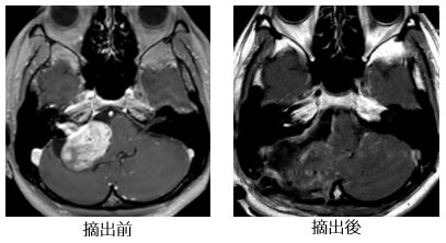
代表的な良性脳腫瘍のひとつです。脳神経を取り巻く膜から発生し比較的ゆっくりと成長しますが、大きくなると神経症状や脳の圧迫症状を起こします。最も頻度が多い神経鞘腫は前庭神経鞘腫(聴神経腫瘍)で、耳鳴りや難聴、めまいなどを発症します。三叉神経、顔面神経、下位脳神経などにもできることがあります。大きな腫瘍の場合には手術による摘出が治療法の第一選択となりますが、小型の場合には成長速度をみながら経過観察することも選択肢の一つとなります。聴神経腫瘍の手術では聴力温存や顔面神経温存のために、顔面神経刺激装置やABRといった術中神経モニタリングを活用します。

肺がんや消化器がん、乳がんなどが脳に転移したものを転移性脳腫瘍といいます。転移性脳腫瘍に対する治療は、原発巣の状態や治療に対する反応性、他臓器への転移の有無などによっても変わってきます。また、転移性脳腫瘍のサイズや個数によっても治療方針が変わってきます。治療は摘出手術に加えて放射線治療(定位放射線治療や全脳照射)や原発巣に対する化学療法を組み合わせて行います。

顔面痙攣と三叉神経痛は、いずれも命に関わる病気ではありませんが、耐え難い痙攣や激しい痛みによって仕事や生活に支障をきたすことも稀ではありません。どちらも動脈硬化などによって蛇行した脳の血管が神経を圧迫することが主な原因だと考えられています。血管の圧迫が画像検査で明らかになった場合、手術で神経と血管の接触を除いてやることが根本的な治療になります。手術は耳の後ろの切開と500円玉程度の小さな開頭で行い、症状の改善効果は80%~90%です。
お問い合わせ
より良いウェブサイトにするためにみなさまのご意見をお聞かせください